Σοκ προκαλούν οι ακτινογραφίες από ένα κοριτσάκι στην Κρήτη, που κατάπιε βίδα, η οποία κατέληξε στον αριστερό του πνεύμονα.
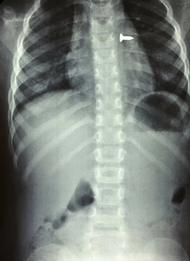
Σύμφωνα με τα όσα έκανε γνωστά ο αναπληρωτής καθηγητής ΩΡΛ της Ιατρικής Σχολής Κρήτης, Μανώλης Προκοπάκης, χθες μεταφέρθηκε σε νοσοκομείο του Ηρακλείου ένα τρίχρονο κορίτσι, το οποίο κατάπιε μία βίδα.
Αμέσως του έγιναν ακτινογραφίες που έδειξαν πως η βίδα βρισκόταν στον αριστερό πνεύμονα του παιδιού.
Όπως γράφειτ ο cretapost, οι γιατροί άμεσα οδήγησαν το κορίτσι στο χειρουργείο και μετά από αρκετή ώρα κατάφεραν να αφαιρέσουν τη βίδα.

Ο κ. Προκοπάκης σε ανάρτησή του στα social media ανέφερε: "Πολύ επείγον χειρουργείο! Πριν από λίγο. Αφαίρεση βίδας από αριστερό βρογχικό δέντρο τρίχρονου κοριτσιού. Πολύ επικίνδυνο…".